Ez a cikk Hozsdora Andrea Facebook post sorozata alapján készült.
Minden kismama találkozik az ultrahang szűrésekkel, de sokaknak mégsem teljesen egyértelmű, hogy pontosan mit tudunk vizsgálni a szűrések során.
Az ultrahang technológia az elmúlt 30-40 évben hatalmasat fejlődött, így egyre több struktúra vizsgálatára nyílt lehetőség az évek során. Egyre részletesebben lehet vizsgálni a szervek anatómiai struktúráját, valamivel könnyebben, illetve hamarabb rá lehet találni több anatómiai rendellenességre is, mint régebben. Emellett az is igaz viszont, hogy az ultrahang sem "mindenható" , nem lehet minden esetben látni különböző eltéréseket a szűrővizsgálatok során, még akkor sem, ha a rendelkezésre álló diagnosztikai eszköz jó minőségű, illetve bármennyire is alapos a vizsgálat kivitelezője, akkor sem biztos, hogy bizonyos eltérések adott helyzetben detektálhatók. Ennek fizikai okai vannak, amelyeket a fejlesztő mérnökök és fizikusok próbálnak kiküszöbölni, hosszas munka és kutatás során.

Vajon az az első trimeszteri vizsgálat csupán „genetikai ultrahang” ?
Magyarországon az első és második trimeszteri ultrahang szűrővizsgálatok a köztudatba ezen a néven kerültek be. Pedig ezek szűrővizsgálatok valójában, melyet az anatómiai struktúrák vizsgálatára végzünk. Vagyis keressük a normál anatómiától eltérő strukturális problémákat. Ezek a vizsgálatok azon felül, hogy olyan jeleket keresünk , melyek jelen lehetnek bizonyos kromoszóma rendellenességekben, az azoktól független anatómiai eltéréseket is keresik, illetve azok meglétét szeretnék kizárni.
Így az első és második trimeszteri szűrések magzati anomália szűrések, tehát lényegesen többet takar, mint „genetikai ultrahang”.
Természetesen az ultrahang vizsgálat az első trimeszterben kombinált teszttel, illetve NIPT tesztekkel kiegészítve sokkal nagyobb hatékonysággal tudja megtalálni a kevés, vagy finomabb ultrahang jeleket adó, kromoszóma rendellenességgel társuló terhességeket.
A Szülni Jó Központban az első trimeszteri ultrahang során kiterjesztett vizsgálat történik, melynek alatt hozzávetőleg 50 struktúrát nézünk át egy 12-13 hetes magzatnál az anyai kismedencei képletekkel együtt.
Az első trimeszteri ultrahang szűrést betöltött 11. héttől 13 hét 6 napos terhességi korig javasolt elvégezni, ez az intervallum az ideje a kombinált tesztnek is. Ebben az időszakban 45 mm és 83 mm közötti nagyságú magzatokat vizsgálunk. Hogy érzékeltsebb legyen: egy szokásos névjegykárta 90mm hosszú. Az egyik célja a vizsgálatnak, hogy a vizsgált képletek alapján már több magzati anatómiai fejlődési rendellenességet kizárjunk. Ezek még a nagyon durva, általában élettel nem összeegyeztethető, vagy az életminőséget jelentősen befolyásoló rendellenességek körébe tartoznak.
A másik célja a vizsgálatnak, hogy a kromoszóma rendellenességekre utaló, ultrahanggal látható rendellenességeket keressük, illetve kizárjuk. A kombinált teszttel kiegészített ultrahang vizsgálattal a leggyakoribb kromoszóma rendellenességek kockázatát is meg tudjuk határozni.
Szerencsére az a tapasztalat, hogy a 12 hét körüli időszakig eljutott terhességekben nagyrészt egészséges magzatok fejlődnek, és csak kis százalékuk mutat durva rendellenességet.
Milyen képleteket tudunk vizsgálni a magzaton?
Magzati koponya, arc: koponyacsontok, agykamrák a bennük látható érfonatokkal, a hátsó koponyagödör fejlődő területei, agytörzs.
Az arcon a szemek, szemlencsék, orr, orrcsont. Néhány esetben kizárhatók a szájpad súlyosabb hasadékai, és az állcsontok is vizsgálhatók.
Magzati mellkas: Meghatározható a szív mérete, helyzete, kizárhatók a tengelyének eltérései. Látni lehet a szív üregeit, a bennük lévő véráramlást. Jó felbontású géppel láthatóak a szívből kilépő erek, a bennük lévő áramlások, a billentyűk, azok működésbeli eltérése (hogyan zárnak), a szívsövények durva rendellenességei. Azonban azt tudni kell, hogy a magyarországi protokollban ez a részletesség nem elvárt, és nem elég a szív vizsgálatához a jó felbontású gép, mert ennek elvégzéséhez megfelelő tapasztalattal rendelkező vizsgáló is nagyon szükséges. A szív mérete ebben a terhességi korban 5-8 mm. A mellkas vizsgálatában a rekeszizom épségének megítélése és a durva rendellenességeinek kizárása is beletartozik. Láthatjuk a fejlődő tüdő szerkezetét is.
Magzati hasüreg: Már vizsgálható a gyomor, a máj, a belek területe, a hasfal zártsága, a köldökgyűrű épsége, megjelennek, láthatóvá válnak a magzati vesék és az őket ellátó erek. Telődik a húgyhólyag, illetve meghatározható a köldökartériák száma.
Magzati gerinc és végtagok: A csontok ilyenkor még állagukban inkább a porcokhoz hasonlóak, nem eléggé csontosodnak el erre az időszakra. A csontosodási folyamatok a második trimeszterben válnak erőteljessé, ezért a gerinc nehezen vizsgálható, csak a súlyos rendellenességei zárhatók ki ebben a terhességi korban. Szerencsére a koponyaszerkezet segítségünkre lehet, az agytörzs eltérései felhívhatják a figyelmet a gerinc rendellenességeire. A végtagok 3 része jól vizsgálható: Kézfejek, alkar és felkarcsontok, a lábfejek, lábszár és combcsontok. Az ujjak vizsgálata behatárolt, még az ujjpercek nem csontosak, a 14. héthez közeli időszakban vizsgálhatók először. Azonban a kézfejek és a lábfejek kóros tartása bizonyos rendellenességek tekintetében segítségünkre lehet.
Markerek (jelek), melyek eltérései genetikai vagy egyéb rendellenességekre utalhatnak: NT (nyaki redő vastagsága), orrcsont meglétének vizsgálata, véráramlás mérések. Mérjük a szívbillentyűkön áthaladó vér áramlását, a magzati szívfrekvenciát, illetve egy kis vezeték, a ductus venosus áramlását, mely lényegében arra szolgál, hogy a köldökvénából a vér a magzati szívbe jusson. Ide tartozik az agytörzs és az agykamrák vizsgálata, illetve a magzati ülőmagasság is markerként szolgál, hiszen ennek méretéhez viszonyítjuk az összes többi markert.
A magzat neme: Sokan kíváncsiak már ilyen korai időszakban is a magzat nemére. Ebben az időszakban 85-90 százalékos pontossággal lehet megállapítani a magzat nemét. Nagyon hasonlóak ekkor még, csak egy kis szögkülönbség alapján lehet megítélni őket. Pontosan a 16. terhességi kor után lehet megállapítani a nemet, mert addigra fejeződik be a külső nemiszervek kialakulása.
Láthatjátok, hogy mennyi minden kerül megfigyelésre a vizsgálat során, mely sokszor időigényes, gyakran ki kell várnunk, hogy megfelelő irányba forduljanak, csak így lehet a vizsgálandó területeket látni.
Pár képet szeretnénk megosztani veletek, melyek ezek alatt a szűrések alatt készültek, megköszönve azoknak a kismamáknak és leendő apukáknak, akik így hozzájárultak ahhoz, hogy segítsünk nektek mélyebb betekintést adni az ultrahang szűrések világába.
További képek eben a Facebook postbak találhatóak:
I. trimeszteri ultrahang markerek (jelek)
Sokan kíváncsiak rá, hogy melyek az első trimeszterben vizsgálandó markerek (jelek), amelyekből arra tudunk következtetni, hogy a magzatnál fennállhat-e valamilyen kromoszóma rendellenesség.
Ezek a következők:
CRL(ülőmagasság): Az ülőmagasság mérése szinte az alapja a vizsgálatnak, mert minden egyéb marker ehhez a mérethez van viszonyítva.
NT (nyaki redő vastagság): a nyaki bőr vastagsága, a bőrrétegek között felgyülemlett folyadék mérése. A 11. és 13. hét vége között mérhető, a magzati nyirokkeringés jellegzetessége miatt alakul ki, később eltűnik a bőr rétegei közül, emiatt fontos ebben az időszakban vizsgálni. A vastagabb nyaki redő jelenléte utalhat szívhibára és kromoszóma rendellenességre is, néhány esetben emelkedettebb értékű nyaki redőt olyan magzatok is tudnak produkálni, ahol nem áll fenn egyik eltérés sem.
Normál értékét 3 mm alatt határozták meg, de ez valójában attól is függ, hogy éppen mekkora a magzat. Például 2,6 mm-es nyaki redő teljesen más kockázatot mutat egy 45 mm-es vagy egy 75 mm-es magzatnál. A 45 mm ülőmagasságú magzatnál már a normál tartomány felett van ez az érték, így emelkedik a kockázat, a nyaki redő mérete 95 percentil felett van. Erről mellékelünk képet is.
NB (orrcsont):12. hétre már annyira csontosnak kell lennie, hogy jól láthatóvá válik. Előfordul, hogy nem látszik, vagy csak kevésbé markáns a megjelenése. A Down szindróma mellett meglehet, hogy nem látható, vagy alulfejlett. Egészséges magzatoknál is néhány esetben tapasztalható, hogy kevésbé ábrázolódik, majd néhány nap múlva megjelenik a szabályos képe.
Tricuspidalis billentyű áramlás (jobb pitvar-kamrai billentyű áramlás): a billentyűk működését vizsgálja, hogy különböző pontokon megfelelően zárnak-e, vagy a kamrából a pitvar felé visszaengedik-e a vért. Ha fennáll a visszaáramlás, növekedhet a kockázata. Időszakosan egészséges magzatok is produkálhatják.
Ductus venosus áramlás (a vér a szív felé, a köldökvéna felől való áramlását biztosító csatorna): Visszafelé áramlás esetén szintén emelkedik a kockázat szívhibák, illetve a kromoszóma rendellenességek jelenlátére. Átmenetileg egészséges magzatokban is megjelenhet. A jobb pitvar-kamrai bilentyűk és ennek az érnek az áramlási eltérései esetén fontos a magzati szívultrahang elvégzése, hogy kizárjuk a szívhibákat. Genetikai tanácsadás is javasolt.
FHR (magzati szívfrekvencia) 120 és 160/perc között teljesen szabályos, élénk mozgás esetén akár 170-180/ perc is lehet, de nem tartósan. Ha tartósan ennél magasabb, vagy alacsonyabb, az is felvetheti kromoszóma rendellenesség illetve szívhibák lehetőségét.
Miben segítenek nekünk a markerek? Abban, hogy a sok szabályosan fejlődő magzat közül megtaláljuk azokat, melyek az átlagtól eltérő jeleket mutatnak. A markerek és az ultrahang alapján még nem mondható ki, hogy adott esetben a magzatnál kromoszóma rendellenesség áll-e fenn, ezek csak azok kockázatát növelhetik. Ha van is eltérés bennük, még nem feltétlenül jelenti azt, hogy a magzat beteg. Például pár napon belül megjelenik az orrcsont megfelelő képe, vagy kontroll vizsgálatra megszűnik a billentyűkön a visszaáramlás. Azoknál a magzatoknál, ahol a nyaki redő 3-3,5 mm közötti, (95. és 99. percentilis közötti) és egyéb eltérés nem látható, 93% az esélye annak, hogy nagyobb rendellenességek nélkül szülessenek.
Mi a kombinált teszt? Az első trimeszteri ultrahang szűréskor mért magzati markerek, és az anyai vérből meghatározott paraméterek (PAPP-A fehérje és szabad Béta HCG) kombinációja alapján kapott kockázatbecslés Down, Edwards és Patau szindrómára. Ha magas kockázat jön ki esetleg kromoszóma rendellenességekre nézve kombinált teszt alapján, vagy anatómiai eltérést látunk, akkor genetikai tanácsadás szükséges, ahol a genetikus javasolhat további vizsgálatokat, például a lepényszövet vizsgálatát, vagy magzatvíz vizsgálatot. NIPT teszt csak abban az esetben javasolt, ha anatómiai eltérést nem látunk, de emelkedett kockázatot kapunk. Ha negatív leletet kapunk, akkor is ezeket a magzatokat tovább kell vizsgálnunk, magzati szívultrahangot javasol a kezelőorvos, hogy kizárjuk a szívfejlődési rendellenességeket is.
A NIPT teszt(nem invazív prenatális teszt) az anyai vérben keringő szabad magzati DNS-töredékek elemzése.
Egy eltérő lelettel a kézben nyilván nehéz hetekig várni az eredményekre, lelkileg nagyon megterhelő tud lenni. Ilyenkor nagy szüksége van a kismamának és a leendő édesapának is a szakemberek és a környezetük lelki támogatására is. Ezt nagyon fontosnak tartjuk, emiatt a Szülni Jó Központban igyekszünk megfelelő empátiával segíteni az ebben a helyzetben levő párokat.
Mi is az a preeclampsia, terhességi toxémia?
Biztosan többen hallottatok már erről a kórképről, és szeretnétek kicsit érthetőbb leírást kapni róla. A terhesség 20. hete után hírtelen kialakuló, magasvérnyomással, a vese romló működése következtében fehérjevizeléssel, vizesedéssel járó állapot, melynek súlyos anyai és magzati szövődményei lehetnek. Ennek következtében ebben az állapotban magas a koraszülések esélye. A legtöbb esetben teljesen egészséges kismamákat érint, akiknek a terhesség előtt semmilyen panaszaik nem voltak. A terhességek kb. 2-8 %-át érinti.
Régebben terhességi mérgezésnek hívták, mivel tényleg fogalmuk sem volt róla, hogy mi okozza ezt az általában hírtelen kialakuló állapotot. Sajnos ez a kórkép volt az, ami a legtöbb veszteséget okozta évszázadokon át, anyai és magzati szempontból is. De az a jó hír, hogy az utóbbi évtizedek kutatásai elvezettek minket a toxémiára hajlamos terhességek kiszűréséhez, illetve megelőzéséhez is.
Mik lehetnek az okai? Bonyolult folyamatok vezetnek ehhez az állapothoz, elsősorban anyai és magzati immunológiai okok, vagy a lepény és a lepényi erek fejlődési zavara okozza a kialakulását.
Kik a veszélyeztetettek? Ha a kismama édesanyjánál , vagy testvérénél a terhességük folyamán kialakult toxémia, vagy a várandós előző terhessége toxémiával szövődött. Vannak betegségek, melyekre úgymond rárakódhat a toxémia, mint például az anyai szív-érrendszeri betegség, vesebetegség. A tünetei hírtelen kezdődnek, felszökik a vérnyomás (tartósan 140/90 Hgmm fölé) a vizeletben megjelenik a fehérje, a végtagokon, súlyos esetben testszerte folyadékgyülem jelenhet meg. A magzati keringés romlik, melynek következtében tápanyag és oxigénhiány alakulhat ki, így nem csak anyai, de magzati károsodás is kialakulhat.
Hogyan tudjuk megelőzni?
Az első trimeszteri ultrahang során vizsgálható a méhet ellátó anyai erek áramlása, melynek paraméterei felhasználhatók a toxémia szűrésében. Emellett az anyai vérből vett fehérje szintjének vizsgálata is beletartozik. Ez a fehérje a PLGF, mely a lepény kialakulásában játszik fontos szerepet. Alacsony szintje a lepény kóros fejlődésére utal. Mérik az anyai vérnyomásértékeket, mindkét karon többször mérve. A szűrés figyelembe veszi az anyai anamnézist is. Ezeket összekombinálva kapunk egy kockázatot, mely 90 %-os pontosságú, 10 % fals pozitív eredmény mellett. A preeclampsia szűrés a 32 hét előtt megjelenő toxémia kockázatát szűri.
Miért kell ilyen korai időszakban szűrni? Mi történik, ha pozitív eredményt kapunk?
A placenta szerkezete és az erei az első 16 hétben alakulnak ki, ebben az időszakban elkezdett csökkentett adagú Aspirin Protect terápiával befolyásolhatók a folyamatok, amivel a toxémia kialakulását elkerülhetjük. Később, a már kialakult placentában nem tudjuk a kívánt hatást elérni. emiatt kell korán szűrni és 16. hét előtt elkezdeni az Aspirin szedését.
Ha pozitív az eredmény, vagyis magas kockázatot kapunk, akkor az Aspirinnel nagy eséllyel kikerülhető a kórkép, és annak következtében a koraszülések száma is nagymértékben csökkenthető. A terápia a 36. hétig tart, onnantól abba kell hagyni az Aspirin szedésést.
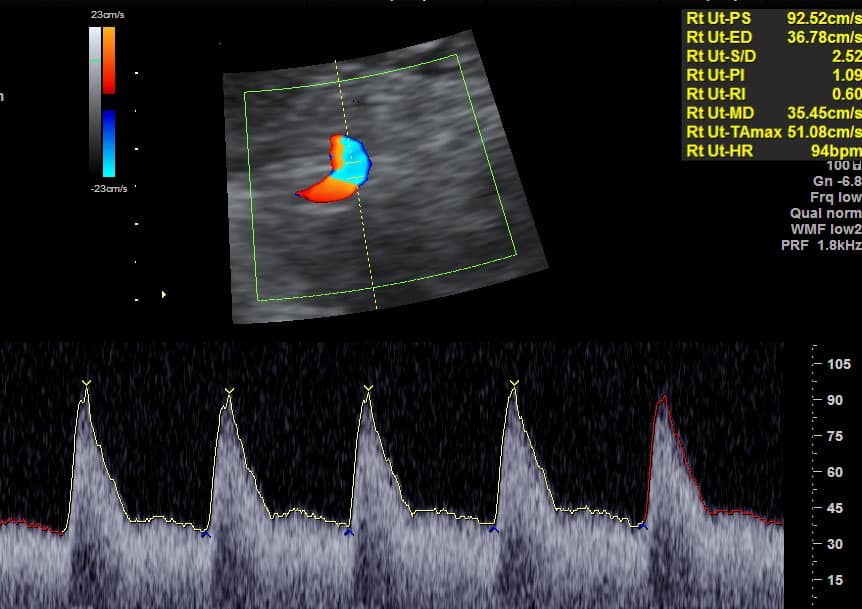
A mellékelt kép a méhet ellátó artéria normál áramlását mutatja az első trimeszteri ultrahang során.
A második trimeszteri szűrés.
A második trimeszteri szűrés legoptimálisabb ideje a 20. hét. A középidős anomália szűrés célja, hogy az ultrahanggal kimutatható rendellenességek azon csoportját kizárja, vagy megtalálja, amelyet még az első trimeszteri szűrés alkalmával még nem lehet látni. Lényegében az első trimeszteri anomália szűrés folytatása.
Vannak olyan markerek, jelek, amelyek megléte továbbra is emelheti a kockázatát a kromoszóma rendellenességeknek. Vannak olyan jelek, apró eltérések is, melyek önmagukban előfordulva nem emelnek semmilyen kockázatot.
Gyakran előfordulnak például az agykamrákat kitöltő érfonatokban megjelenő cisztikus képletek, ezeket szokták plexus cisztáknak hívni, vagy a szívkamrákban megjelenő fokozottan ábrázolódó ki pontok, a hyperechogén papilláris izmok. Ezek nagyon gyakoriak, maguktól megszűnő jelenségek, nem utalnak önmagukban semmi betegségre. Ha több ilyen kis úgynevezett minor jelet látunk, még akkor sem feltétlenül biztos betegség jelenléte, ebben az esetben a kezelőorvos genetikai tanácsadásra küldi a várandóst, hogy ott ez legyen körüljárva.
Mit lehet vizsgálni a második trimeszterben?
Az első trimeszteri vizsgálatnál részletesen leírtuk, hogy abban az időszakban mit láthatunk. Ez a vizsgálat annak a kiegészítése.
Agykoponya: Már megjelenik a kisagy, az agykamrák és az agyban található üregek, agytörzs mellett már vizsgálható a kérgestest, mely a két féltekét köti össze. Megjelenik az agy első barázdája is, egyebekben még az agy sima felszínű, nem barázdált, mint később.
Arc: a szemeken, orrcsonton kívül vizsgálható már az ajak felső íve, és a csontos szájpad eltéréseinek bizonyos formái kimutathatók, bár sajnos az egyik legnehezebben szűrhető eltérés a szájpadhasadék, főleg a lágyszájpadon levő.
Szív. Jobban vizsgálhatók a kilépő erek, a szívüregek és a szívsövények. A legoptimálisabb időszak a szív vizsgálatára, emiatt ekkor szokták a kismamákat magzati szívultrahangra is küldeni, ha valami felmerül akár az anamnézisben, akár a vizsgálat alatt.
Mellkasi szervek: Jól látszik a tüdő szerkezete, a mérete, esetleges eltérései. A rekeszizom jobb és bal oldalának vizsgálata is fontos, ki kell zárni az esetleges eltéréseit.
Csontrendszer: A csontosodási folyamatok felgyorsulnak, az apróbb csontok szépen láthatóvá válnak, már jól lehet vizsgálni az ujjakat, ujjperceket, a gerincet, a csigolyák nyúlványait, a csigolyatestet, emiatt ekkor könnyebb (de nem könnyű) megtalálni a gerinc rendellenességeit is. Azonban a gerinc rendellenességek bizonyos formái könnyebben rejtve maradhatnak, ha például bőrrel fedettek, vagy nehéz a területhez hozzáférni, nehezen vizsgálható magzatoknál. Emiatt nagyon fontos a jó pozíció kivárása vizsgálat alatt, vagy kontroll vizsgálatra visszahívni a kismamát. A lábak és a kezek vizsgálata is könnyebben kivitelezhető, mint később, mert a magzat körül még arányaiban több tér van, és mozgékonyabbak is a kis magzatok.
Hasi szervek: Jobban vizsgálható a máj, a vesék, a belek. A gyomor és a hólyag telődésének ellenőrzése fontos ekkor is, kizárhatunk vese, illetve nyelőcső rendellenességeket is ezek segítségével. A hasfal zártságának megítélése is kötelező. a köldökzsinór hasfalba való bekapcsolódásának ismételt vizsgálata is fontos.
Nemi szervek: Ebben az időszakban lehet pontosan meghatározni a magzat nemét. Nagyrészt egyezni szokott az első trimeszterben meghatározott nemmel, de ritka esetben megviccelnek minket a kis magzatok 😊
Milyen plusz markereket tudunk használni a második trimeszteri szűrés alatt, melyek segítenek nekünk a kromoszómarendellenességekkel kapcsolatban?
Orrcsont-orrgyök arány, homlok előtti tér vizsgálata: megmérjük a magzati orrcsont hosszát és az orrgyök bőrének vastagságát. Láthatjuk a felső és az alsó állcsont meglétét, milyenségét, hogy adott esetben laposabb-e az arc. Ezek az arányok is segíthetnek a Down vagy az Edwards szindróma kiszűrésében. De azért vannak egyéni tulajdonságok is, melyek megjelenhetnek egészséges magzatoknál is .
Kisujj középső perc: Down szindrómás magzatoknál ez a kis csontocska alulfejlett lehet. Itt is találkoztunk olyan esetekkel is, mikor a családban egészséges egyének is kissé rövidebb kisujjal éltek. Ezek valójában alig észrevehetően vannak jelen a mindennapi életben.
A lengőbordák hiánya vagy többlete: Szintén Down szindrómában írtak le gyakrabban ilyen eltéréseket, emiatt nézzük. Persze élnek közöttünk egészséges emberek is ilyen tulajdonságokkal.
Ezeknél a markereknél is az a szabály, mint első trimeszterben, ha eltérőnek látjuk őket csak a kockázatot növelik, nem pedig diagnózisként kell értékelnünk ezeket. Szintén genetikussal kell konzultálnunk, aki szükség esetén diagnosztikus vizsgálatra küldi a kismamát.
A második trimeszteri szűrés az egyik legfontosabb ultrahang vizsgálat mely segítségével kizárhatók, vagy időben felismerhetők az esetleges genetikai vagy anatómiai rendellenességekre utaló eltérések. Szerencsére ezek az eltérések viszonylag ritkák, a magzatok jelentős része egészséges, és minél előrehaladottabb a terhesség, annál ritkábban jelennek meg az élettel összeegyeztethetetlen, vagy az életet jelentősen befolyásoló eltérések.

További képek:
A III. trimeszter
A III. trimeszteri ultrahangot a 30. héten legideálisabb elvégezni. Ennek során valójában a magzat fejlődési ütemére vagyunk elsősorban kíváncsiak, megfelelő-e a súlygyarapodás és a lepényi működés. Lényegében magzati állapotfelmérést végzünk.
De ennek a vizsgálatnak a másik fontos célja az is, hogy kiszűrje, vagy kizárja a késői időszakban megjelenő eltéréseket is. Ezek az eltérések szerencsére nagyon ritkák, és legtöbbször a késői megjelenés miatt könnyebben korrigálhatók, esetenként maguktól is megoldódhatnak. A fiú magzatoknál például gyakori a vesemedence tágulat, amely általában a normál tartomány felső határánál szokott megjelenni, melyet születés után is lekontrollálnak. Legtöbb esetben aztán visszahúzódik, ha nem akkor természetesen a gyermekgyógyászok további vizsgálatokat végeznek, és az eredmények bírtokában kezelik tovább a csecsemőt.
Fontos kizárni bizonyos ereken megjelenő kisebb szűkületeket is. Minden eltérés esetén mérlegelni kell azt, hogy az adott állapot miatt melyik intézményben jobb szülni, hogy a szükséges kezeléseket azonnal a megfelelő centrumban kapja meg az újszülött.
Hogyan tudjuk meg, hogy a placenta megfelelően működik-e?
Legfontosabb, hogy a kismama figyelje a magzatmozgásokat , tapasztalja ki a magzat bioritmusát. Általában a magzatoknak sem egyformák a napjaik, vannak kevésbé aktív napok is. Ha a kismama a szokottól eltérő „viselkedést” tapasztal, jelezni kell védőnőnek vagy kezelőorvosnak. Ezesetben szívhangot hallgat , illetve flowmetriát végez a szakember.
Mi a flowmetria? Az ultrahang vizsgálat során a magzati agyi artériák és a köldökartériák áramlása vizsgálható, mérhető. Ezek mérésével láthatjuk, hogy a magzat megfelelő vérellátást kap-e ahhoz, hogy az oxigén és tápanyag ellátottsága biztosított legyen. Flowmetriát végezni terhességi cukorbetegség követésekor , illetve a magzati súly eltéréseinél is szükséges például végezni
Mérni lehet a méhet tápláló artériák áramlását is, így a placenta felé történő keringésről is képet kapunk.
Érett placenta, vagy meszes placenta?
A placenta szövete a terhességi kor előre haladtával megváltozik . „Intenzív használatban” van,ezért természetes, hogy vannak folyamatok, a szövetben melyek láthatóvá válnak az ultrahang vizsgálat során is. A harmadik trimeszteri szűréseken általában I-es vagy II-es fokban érett lepényeket látunk. A terhesség utolsó heteiben azonban normális, ha a lepényt III-as fokban érettnek írjuk le. Önmagában ez a kifejezés elég sok kismamát megijeszt , pedig nem kóros állapot. Ezek a lepények is kitűnően ellátják a magzatot. Ha a magzati keringés jó, a súlya megfelelő és nem kevés a magzatvíz, akkor teljesen jól működik. Akkor probléma a III -as fokban érett lepény, ha a terhesség korábbi időszakaiban jelenik meg. Ekkor sokszor „meszes” lepénynek is szokták mondani.
Az utolsó ultrahang vizsgálatot , amely a 37-38. hét körül érdemes végezni, kivették az államilag finanszírozott ultrahang szűrésekből, pedig hasznos információkhoz tudunk jutni a segítségével. Könnyebben megítélhető a magzat születéskor várható súlya, a magzat elhelyezkedése és az állapota is. Fontosnak tartjuk, ezért a Szülni Jó Központban ezek miatt elvégezzük ezt a vizsgálatot is.
2D, 3D, 4D ultrahang. Mi a különbség?
A diagnosztikában alapvetően a 2D ultrahangot használjuk. A vizsgálófej által kibocsájtott ultrahangnyalábok a szövetekbe jutnak, majd onnan a szövetekről visszaverődnek. A szövetekről különböző mértékben visszavert hullámok visszajutnak a vizsgálófejbe, majd a kapott jeleket az ultrahang gép képpé alakítja. Az elmúlt évtizedek informatikai fejlődése biztosítja, hogy gyakorlatilag közel valós időben lássuk a képet a vizsgálat alatt, például a magzati mozgásokat is.
2D kép: A képen egy metszet jelenik meg. Emiatt, ha mondjuk a magzat középvonalát vizsgáljuk, ahol a nyakiredőt is vizsgáljuk, akkor nem tudjuk látni a test jobb, vagy bal oldalát, így például a karokat, lábakat. (Képzeljünk el egy almát, amit karikákra szeletelünk, és egy ilyen szeletet nézünk.)
3D kép: A vizsgálófejjel egy bizonyos területet lepásztázunk, miközben több 2D metszetet készít a gép, majd ezeket úgy dolgozza fel, hogy térbeli álló képet kapunk. Ezeket forgathatjuk, utólag is vizsgálhatjuk.
Tudtátok, hogy a 3D technikát amiatt kezdték kifejleszteni, mert szerették volna a vizsgálattal a műtétek előtt megtudni a szervek, vagy tumorok pontos kiterjedését, volumenét? Ez például a daganatsebészetben nagyon hasznos. Ezután kezdték alkalmazni a kardiológiában, szülészetben és a nőgyógyászatban.
4D kép: valós idejű 3D mozgókép. A magzatvíz olyan körülményeket teremt, hogy a magzat nagyon plasztikusan ábrázolható, emiatt használjuk az ultrahang vizsgálat során. A kép minősége attól függ, hogy van-e elég folyadéktér a magzat arca előtt. Ha a magzat arca túl közel van a méhfalhoz, vagy a placenta felszínéhez, akkor nincs lehetőségünk szép képet készíteni. Ilyenkor meg kell várnunk a megfelelő helyzetet. Így a 3-4D sikere is nagyrészt a magzati pozíciótól függ, illetve befolyásolja az anyai szövetek tulajdonsága is, mint ahogy a 2D ultrahang minőségét is.
A 3D ultrahang kiegészítő vizsgálat, nem helyettesíti a 2D ultrahangot. Magzati ultrahangnál jól használható a koponya, gerinc és a csontrendszer kiegészítő vizsgálatára, valamint különböző eltérések megjelenítésére is. Emiatt a II. trimeszteri vizsgálatnál a legtöbb szűrőcentrumban használjuk.

Tévhitek
Az ultrahang egy hanghullám, melynek frekvenciája az emberi fül számára hallható 20 kHz-nél sokkal, jellemzően 50-szer vagy 1000-szer magasabb frekvenciájú tartományba esik. Az ultrahang nem sugárzás, főleg nem "izonizáló sugárzás", mint pl. a röntgensugár. Nem jár ezek mellett fényhatással sem. Az ultrahang technológia fejlődése az orvostudományban a II. világháború után kezdődött el dinamikusan. Legerőteljesebb fejlődése egybe esik az informatika fejlődésével, ahogy már az előzőleg is említettük. A hosszú évtizedeken át tartó kutatások azt bizonyítják, hogy biztonságos , és a más képalkotó eljárásokhoz képest sokkal olcsóbb vizsgálat.
Ahogy világszerte elkezdték az internetet használni, abban a pillanatban kezdtek téves, vagy nem teljesen pontos információk terjedni az ultrahanggal, főleg a magzati ultrahang vizsgálatokkal kapcsolatban. A leggyakoribb állítások a következők:
1. A magzatok hallják az ultrahangot, zavarja őket. Nem , ők sem hallják. Nekik is emberi idegrendszerük és fülük van, a második trimeszterig semmit sem hallanak, mivel hallás központja ekkor fejlődik ki, és később sem lesz alkalmas az utrahang érzékelésére.
2. Bevilágít , zavarja a magzatot. Nem, mert nem fény, hanem hanghullám.
3. Kavitációs hatás: az ultrahang nyalábok fizikai hatásának következtében a szövetben nyomásingadozás alakul ki, a túl nagy nyomás hatására gázbuborékok képződhetnek, melyek távozásakor a sejthártya károsodhat. Ez egy nagyon leegyszerűsített leírása a folyamatnak. A nyomás egy szövetben függ a szövetek szerkezetétől és az alkalmazott ultrahang nyaláb tulajdonságaitól. A diagnosztikus célra használt ultrahang esetében a kutatások nem feltételeznek kavitációs hatást. A gépeknek szigorú feltételeknek kell megfelelniük, biológiai, fizikai és klinikai szempontból is. Folyamatosan vizsgálják, kutatják az ultrahang rövid és hosszútávú hatásait. A vizsgálatok arra a megállapításra jutottak, a humán területen alkalmazott diagnosztikus ultrahangnak károsító hatása nincs.
4. Felmelegíti a magzatvizet. Erre vonatkozólag is történtek állatokon vizsgálatok, melyeket olyan ultrahang frekvenciával kiviteleztek, melyeket a diagnosztikus ultrahang vizsgálatok során nem használnak. Sokkal nagyobb frekvenciájú, intenzitású nyalábokat használtak és jóval hosszabb ideig tartott a behatás, mint egy normál ultrahang vizsgálat ideje. Az ultrahang egy fizikai rezgés, természetes, hogy a közeg ennek hatására felmelegszik. De a magzati ultrahangot nem végezzük olyan magas intenzitású, frekvenciájú nyalábbal, főként nem tarthat folyamatosan több órán keresztül. Szakmai szabály, hogy a vizsgálatot csak indolkolt esetben, az ésszerű ideig szabad végezni. Emiatt a magzatvízben a vizsgálat alatt nem történhet olyan mértékű hőmérséklet emelkedés, mely károsodást okozna. A koraterhességi ultrahang vizsgálatok a 12. hét előtt, pedig viszonylag rövid ideig tartanak.
Az ultrahang nyalábok rezgésének hatására nem a folyadékokban, hanem a sűrűbb szövetekben -mint például a csont, izom, vagy kötőszövetek-történik nagyobb hőmérséklet emelkedés. Emiatt terápiás ultrahang kezeléseknél jó hasznát veszik, gyulladáscsökkentő hatása miatt például.
Érdekességként szeretnék ajánlani egy cikket az ultrahang vizsgálatok fejlődéséről, ha van kedvetek olvassátok el, nagyon érdekes:
https://www.ncbi.nlm.nih.gov/pmc/articles/PMC3987368/





